主动脉夹层急性期可出现大量迅速致命的合并症,慢性期被累及的主动脉进行性瘤样扩张,该病病情危重,预后很差,可在数小时或数天内致死,死因是血管破裂或累及到重要器官(冠脉、头臂动脉或内脏动脉)。
突然发作的胸痛可能是急性主动脉夹层的表现。主动脉内膜一处微小撕裂便可以快速将主动脉壁剥开,并迅速扩展形成假腔(黄色箭头),即使及时诊治,也可能出现致命危险。
在美国,主动脉夹层在高血压患者群体中最为多发。由于多数估算数据基于尸检(如图),真正的患病率很难估计,在尸体中发现的主动脉夹层约为1%~3%。发病率大约为每年5~30例/百万人。每一万名主动脉夹层患者中有一例患者就医,在美国每年新发病例约2000例。
主动脉壁由3层组成(见下图),内膜(黑色箭头)、中膜(黄色条带)、外膜(红色箭头),包含大量各种胶原蛋白、弹性蛋白和平滑肌细胞。随着年龄增长,这些组成部分分解并被嗜碱性基质所替代,这一过程称为囊状中层坏死。这些改变导致主动脉发生撕裂的风险升高,并导致夹层(如图所示)。值得注意的是,囊状中层坏死在1929年被首次描述并沿用至今,但研究已证实这一过程既非囊状也非坏死,因此有些人称之为囊性中层变性。
主动脉夹层通过主动脉内膜壁撕裂而进展,导致内膜下血肿的发生和蔓延。这一过程是主动脉内形成真假两腔,通俗来讲便是一个双管腔主动脉。两个腔的总横截面积是不变的,因此随着假腔扩大,流向真腔的血液越来越少。如果夹层累及了心包区域,则可能出现心脏填塞。
主动脉夹层有两个主要分型方案:DeBakey和Stanford分型法。分型的主要根据是夹层的累及范围与升主动脉和降主动脉的关系(见下图)。
图A:Stanford A型或DeBakey I型;
图B:Stanford A型或DeBakey II型;
图C:Stanford B型或DeBakey III型;
图D :Stanford A型或DeBakey I型,降主动脉胸段另有一个撕裂口。
注意:原发主动脉弓撕裂不适合划分到任一分类中。
主动脉壁的自发撕裂伴随剧烈疼痛,这一症状可能会与心绞痛等许多症状相混淆。对于急性主动脉夹层疼痛最经典的描述是:突发的严重撕裂样胸痛。不巧的是,没有任何症状或体征可以让人确定地将主动脉夹层鉴别出来。常见的症状和体征有:前胸部疼痛、下颌疼痛、肩胛间撕裂样疼痛、晕厥、卒中症状、精神状态改变、非特异性神经症状、呼吸困难、吞咽困难、端坐呼吸、咯血。体格检查结果可能包括低血压或高血压、双上肢血压不一致、神经系统症状、新发心脏杂音、左侧呼吸音减弱和心脏填塞的症状。
医生必须仔细询问以下主动脉夹层相关病史及危险因素:
1)结构异常:二叶主动脉瓣、主动脉缩窄、主动脉环扩张
2)结缔组织病:马凡综合征、Ehlers-Danlos综合征
3)高血压
4)妊娠
5)梅毒
6)精制可卡因的使用
7)医源性:心脏导管术、心脏外科手术、主动脉内球囊反搏
8)血管炎:巨细胞性动脉炎、多发性大动脉炎
9)创伤
10)其他遗传疾病:成人多囊肾病、成骨不全、高胱氨酸尿症、家族性高胆固醇血症、Turner综合征
所有疑为主动脉夹层的患者都应当进行心电图检查。累及主动脉根部的撕裂可能引起冠状动脉缺血,在心电图上表现为ST段抬高。这一点需要和急性心肌梗死仔细鉴别,以避免溶栓药物的误用。然而,主动脉夹层患者最常见的心电图表现为ST段压低(黑箭头)。这种心电图改变是由冠状动脉血流中断引起的。
在诊断主动脉夹层的过程中,胸片常作为第一项影像学检查,虽然它敏感性和特异性均不高。如下图所示,纵膈影增宽是最常见的表现,特别是在升主动脉夹层的患者中更为常见。其它的表现包括双重主动脉结、主动脉壁钙化影内移、气管右移、心包积液、心影增大、左肺尖模糊、主动脉轮廓不规则、胸腔积液。
如果主动脉夹层破裂,血液会外渗到同侧胸膜腔中,导致血胸形成。如下图所示,大量血胸在胸片上会表现为同侧全肺野透过度减低。
多普勒心脏彩超可以通过检测主动脉内血流存在与否来识别真腔(红色箭头)和假腔(黄色箭头)。超声同样可以用来评估心脏负荷、血管内膜撕裂部位的识别、夹层延长程度、心包积液和主动脉功能不全情况,尤其是对于升主动脉夹层的患者。
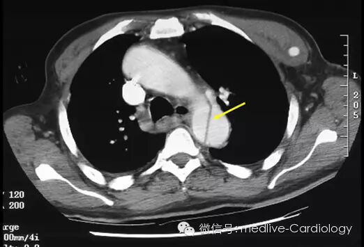
CT扫描是另一种快速而准确的诊断手段,其敏感度和特异度都超过90%。增强CT扫描可以确定夹层扩展范围,观察到将主动脉腔分为两部分的内膜层(黄色箭头),以及识别哪些分支血管血流已中断。采集到的图像还可以到工作站进行三维重建,从而对制定外科手术方案起到辅助作用。后续的检查可以用来观察患者术后情况及评估术后并发症。
核磁共振成像(MRI)则是另一项断层成像检查,同样有超过90%的敏感度和特异度。MRI可以准确识别内膜撕裂部位、夹层扩展范围以及主动脉功能不全的情况。MRI不存在电离辐射,并且某些序列可以不使用对比造影剂。对于慢性夹层患者而言,MRI是进行一系列评估的优选手段。可惜的是,MRI在急性病例中不一定可行。
下图是心脏收缩早期的矢状位MRI梯度回波序列,可以看到血液通过内膜破口从前面较窄的真腔喷涌至后面较宽的假腔中(红色箭头)。内膜隔层显示为线状等信号影,将真腔和假腔分隔(黄色箭头)。
血管造影是诊断主动脉夹层的传统参考标准。它可以实时观察,并且由于截至主动脉弓的血管易于评估,因此可以为外科手术方案提供极佳的辅助信息。造影中可以直接观察到真假两腔。这一操作十分依赖术者的技术,因为夹层恶化是血管造影的常见并发症。有了CT和MRI检查,血管造影常仅限于无手术指征的患者使用。
治疗主动脉夹层首先要积极控制血压,降低心肌收缩力,防止心肌的力量进一步撕裂夹层。常用药物有硝普钠、拉贝洛尔和地尔硫卓。控制疼痛首选麻醉药品及阿片类药物,从而减少肾上腺素刺激。药物治疗主要用于那些易于治疗的降主动脉夹层患者。急诊手术用于治疗升主动脉或主动脉弓夹层,通常使用涤纶移植片封闭假腔。手术死亡率一般在10%左右。血管内疗法是一种治疗降主动脉夹层的新兴方法,易于被人们接受。下图是上世纪60年代Michael DeBakey医生完成的手术,这是第一例成功使用涤纶移植片治疗夹层动脉瘤的手术。
由于主动脉夹层手术的高死亡率,研究方向主要聚焦于早期发现和治疗上。下图为平滑肌肌球蛋白重链单克隆抗体,是一种可能有助于诊断的生化标志物。这一项标志物用于检测前12小时出现的夹层,敏感度和特异度均在90%以上,而在心肌梗死患者则为正常值。另一些研究则集中于确定患者主动脉夹层发作的遗传倾向方面,如Ehlers-Danlos综合征及马凡综合征。







